Rio®, a CMOS camera from Gatan, offers exceptional resolution, ease of use, and speed to transform electron microscopy.
Advantages
The Rio CMOS camera will upgrade electron microscopy (TEM) transmission in all applications. Users will no longer have to choose between resolution, field of view, speed, and sensitivity with Rio since it has them all. The majority of the light from the scintillator is lost in the lens or tapered fiber optic coupled cameras. Rio's recently enhanced scintillator and 1:1 fiber optic coupling increase light generation and collection. Rio is the unambiguous new performance benchmark for scintillator cameras operating up to 200 kV.
- High resolution: 9 µm pixel, optimal for 30–200 kV operation
- High sensitivity: Improved scintillator and 1:1 fiber optic coupling. Gpixel CMOS sensor with a duty cycle of 100% and extremely low readout noise
- High speed: Up to 20 frames per second at 4k×4k resolution and 160 frames per second at 1k×1k resolution
- Large field of view: Up to 16 MP (4k×4k)
- Easy to use: Technique panels from DigitalMicrograph® for efficient experimental interaction
- Flexible: Rio can be used for a variety of applications, including regular EM, 4D STEM, in-situ, HREM, diffraction, and more
- Automatically correct column, holder, or specimen drift while capturing images
- As a standard, all Rio cameras provide drift correction and full-quality image display at live frame rates
- Live, full-resolution display: It eliminates the need for separate view and acquire modes, and the entire resolution information can be shown in real-time in Fast-Fourier transforms
Media Library

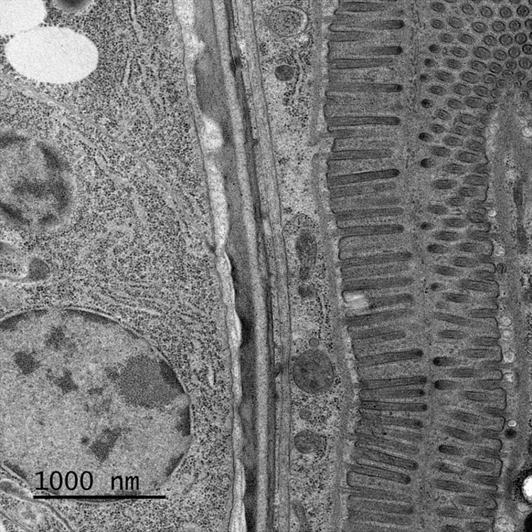
High-resolution image of C. elegans stomach sample. Image Credit: Gatan, Inc.
Elaborating Data Playback Features with IS Player

Live drift correction and full-resolution image display on the Rio camera. Image Credit: Gatan, Inc.